华远小妞
5
0
《入党宣誓词》今日七一,是中国共产党的生日。我以回顾入党宣誓词,来庆祝中国共产党生日!入党誓词:我志愿加入中国共产党,拥护党的钢领,遵守党的章程,履行党员义务,执行党的决议,严守党的纪律,保守党的秘密,对...
尚华DE童话
5
0
...
驭风飞翔的旅程
19
0
关于Serverless看到如今Serverless在云计算行业喷薄欲出的态势,像极了《星星之火,可以燎原》中的描述:虽然不能预测未来的发展和变化,但对于云计算来说这是个相对确定的方向。从Goo...
清新域
4
0
兽医病人的癌症诊断是基于宠物的病史、临床症状、体格检查和诊断测试,包括(但不限于)血液检查、x光片、超声、特殊的分子检测,以及某些情况下的高级成像(计算机断层或磁共振成像- CT/MRI)。随着诊断癌症在...
黄岛废品回收
4
0
概述全球消费者对“健康”、“环保”、“有机”、“绿色”越来越重视,国内外各大品牌商和协会为满足需求已制定相应的认证标准。而如何先人一步占领市场,通过此类认证无疑是中国企业必须面临的问题。下面简单介绍下GR...
心态决定人生
4
0
本文来自微信公号“CSDN”(ID:CSDNnews),作者 | 王知无, 责编| 郭 芮。2019年3月3日凌晨,微博炸锅,有网友反映说阿里云疑似出现宕机,华北很多互联网公司受到暴击伤害,APP、网站全...
思檀郎
3
0
夏季气温高,细菌生长、繁殖也更加迅速儿童由于自身的抵抗力较差病毒、细菌也容易乘虚而入让孩子们患上呼吸道感染疾病。儿童常见的呼吸系统疾病,包括上呼吸道感染和下呼吸道感染。上呼吸道即鼻、鼻窦、鼻泪管...
金融界商
13
0
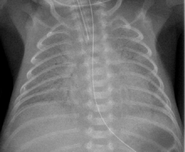
1、28周早产儿,呼吸困难1天。
可见双侧对称弥漫分布的的颗粒状高密度影。可见支气管充气。2、新生儿在剖腹产后数小时内出现呼吸困难。
仍可见双侧对称弥漫分布的的颗粒状高密度影,支气管充气征...