
夏季气温高,细菌生长、繁殖也更加迅速
儿童由于自身的抵抗力较差
病毒、细菌也容易乘虚而入
让孩子们患上呼吸道感染疾病。
儿童常见的呼吸系统疾病,包括上呼吸道感染和下呼吸道感染。上呼吸道即鼻、鼻窦、鼻泪管和咽鼓管、咽部和喉;下呼吸道即气管、支气管、肺和胸廓。
超声、数字化X线摄影、造影检查、CT、MRI、核医学及PET-CT 或PET-MR 等影像检查对儿科呼吸类疾病的诊断和鉴别诊断有重要价值。
ISBN:978-7-03-058894-4 印装:平装
出版时间:2019年3月 定价:138元
No.1 X线检查
包括透视和X线
胸部透视(chest fluoroscopy)简称胸透。经济、简便易行。透视下可任意转动患儿,选择最佳体位观察肺、心脏、横膈、肋骨的呼吸运动状态,同时还可转动患者体位,作多方位观察,以显示病变及其特征,便于分析病变的性质。支气管异物患儿可见纵隔异常摆动;膈疝患儿透视则可见胸腔内充气及蠕动肠道。儿童呕吐性疾病需要行钡餐了解有无食管闭锁、食管反流、膈疝、幽门肥厚性梗阻或肠旋转不良等。
胸部X线(chest radiography)为儿童呼吸系统疾病常用和最基本的检查方法。随着现代医学、电子学和计算机技术的发展,计算机X线成像(computed radiography,CR)和数字化X线成像(digital radiography,DR)打破了传统的X线摄影方式,是X线技术的重大发展,现在已得到较广泛的应用。CR是将X线摄影的影像信息记录在影像板(imageplate,IP)里,通过读取装置将影像板的荧光信号转换为数字化信号,再由计算机计算出数字化图像。DR的基本原理是将所摄影像通过模或数转换器转换成影像信息。CR和DR使X线进入数字化影像的范畴,由于具有相当大的曝光宽容度,从根本上解决了X线图像质量问题,克服了儿童常规胸片曝光过度或不足的缺陷,通过调节亮度和对比度对局部病变的密度和胸部解剖组织重叠区进行优化处理,提高了胸片的诊断准确率,同时大大降低了辐射剂量。

No.2 CT检查
包括高分辨CT、低剂量CT和T螺旋CT
高分辨率CT(high resolution computed tomography,HRCT)具有良好的空间分辨率,能清楚地显示肺部的细微结构如肺小叶等,是目前检查肺结构最敏感的无创性检查手段,是常规CT检查的一种补充。它主要包括两个内容,即薄的扫描层厚(1.5~2mm)和高空间分辨率算法(骨算法)重建。
低剂量的CT扫描在儿童胸部应用较多。儿童处于生长发育期,组织细胞分裂更新的速度和比例远高于成人,对于射线较成人更敏感,在儿童胸部CT检查时应尽量选择低剂量扫描参数。儿童体积小,对X线吸收性低,会有更多X线到达探测器,用相同剂量的扫描参数,儿童的图像噪声比成人低,同时气管和肺组织含气量多,与周围组织具有良好的自然对比,为儿童胸部低剂量CT扫描提供了基础。应当注意降低儿童辐射剂量必须以保证图像质量、满足诊断要求为前提。
多层面重组(multiplanar reconstructions,MPR),属二维显示技术,对肺内病变的定位准确,可清晰显示支气管管腔内外结构和毗邻关系,显示气道狭窄优于横断位图像。曲面重组可将扭曲支气管伸展拉直,在同一平面上显示。最小密度投影和表面遮盖显示用于气道显示,立体感强,但表面遮盖显示的容积资料丢失较多,分支结构显示少或不能显示,且受阈值影响较大,如阈值高时,可造成管腔狭窄的假象。仿真内镜技术可显示气管、支气管及亚段支气管或更远部位,对了解气道有无阻塞及气管解剖变异、狭窄远端的支气管情况将有所帮助。

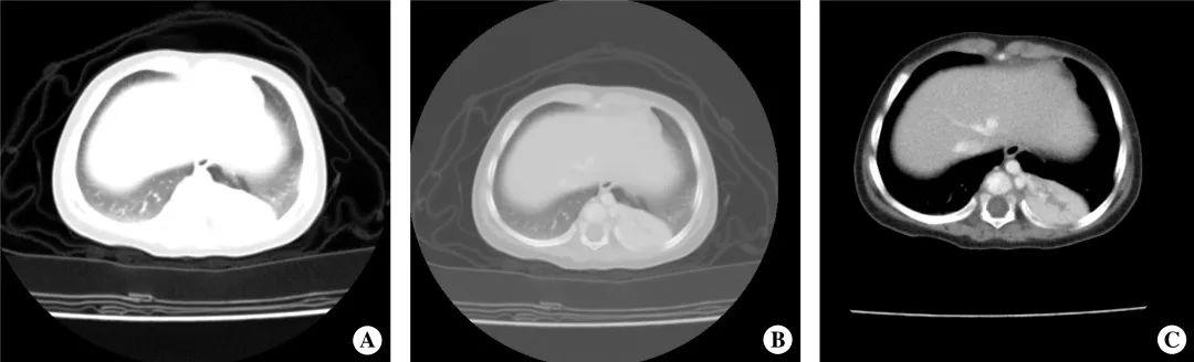
图34-5 左下肺隔离症
女,8 个月,左肺下叶邻近脊柱旁可见软组织影,边界清楚,增强扫描血供丰富,明显不均匀性强化,其内可见来自主动脉供血血管。
A. 肺窗;B. 胸双窗;C. 纵隔窗增强
No.3 磁共振成像
磁共振成像(magnetic resonance imagine,MRI)
磁共振成像(magnetic resonance imagine,MRI)是利用一定的射频信号对处于静磁场内的人体选定层面进行激发,产生磁共振信号,经数据采集与处理,重建成像的一种成像技术。MRI 图像软组织分辨率高,多参数成像;具有无创伤、无辐射和多平面成像的优点;信号强度与组织的弛豫时间、氢质子密度、血液或脑脊液流动、化学位移及磁化率有关。不仅可获得人体的横断面、冠状面和矢状面图像,而且可获得任意选定层面的图像,较全面显示组织器官的解剖结构。
MRI在儿童含气肺部的应用,目前处于研究阶段。研发具有生命指征监测系统的恒温暖箱磁共振线圈,早产儿MR扫描将成为可能。
MRI 在胎儿肺部畸形的诊断已经广泛应用,尤其是当有羊水过少、孕妇腹部脂肪遮挡、胎儿体位限制或病变较小等原因时,超声难以显示胎儿胸部结构。胎儿肺部处于非呼吸状态,肺内充满羊水及分泌物,在T2WI上呈高信号,胎龄越大,胎儿肺信号越高;在T1WI上,胎龄越大,肺信号越低。

图34-14 胎儿支气管肺隔离症
妊娠26+5 周,胎儿左肺下叶可见大片状异常信号影,SSFSE 序列上信号高于右肺和左肺上叶,信号较均匀,可见从降主动脉发出的供血血管。
A. 冠状位(SSFSE);B. 轴位(SSFSE)
No.4 核医学显像
单光子发射型计算机断层(SPECT)、正电子发射型计算机断层(PET)
放射性核素在呼吸系统中的显像技术包括肺灌注显像和肺通气显像。肺灌注显像用于检查肺动脉的血流分布情况,而肺通气显像用于检查气道的通畅性和肺通气情况。
肺灌注显像原理是静脉注入直径大小适当的放射性颗粒,与血液混合后随血流进入右心,经肺动脉进入肺循环,由于其颗粒直径大于肺毛细血管直径,放射性颗粒不能通过肺循环,暂时嵌塞在肺毛细血管床中,并且局部放射性颗粒的分布与局部肺血流成正比,所以肺内放射性分布代表肺血流分布。且不会改变肺动脉的血流动力学,一般来说此项检查是安全的。

肺通气显像原理是指放射性气体或气溶胶经呼吸道被吸入,随气流分布于全肺,肺内各部位放射性气体的浓度与该部位通气量成正比;随后放射性气体又可以被肺清除而呼出,各部位放射性气体的清除率与换气量有关。由于肺通气显像需要被检查者合作,所以只适用于年龄较大能合作的患儿。
肺灌注显像和肺通气显像通常联合使用对肺部疾病进行诊断或鉴别诊断,并评估肺功能。在儿科中可用来诊断肺栓塞或肺动脉高压。
No.5 超声检查
超声在新生儿肺脏疾病中的应用
多年以来,肺脏超声被公认为“禁区”,随着技术的发展及认识水平的提高,超声在新生儿肺脏疾病中的诊断价值逐渐显现出来,其对呼吸窘迫综合征、肺炎、肺间质综合征等的诊断价值为临床医生所接受和认可。
新生儿常见肺部疾病超声:
1. 呼吸窘迫综合征(RDS) 又称肺透明膜病(HMD),主要病理改变是肺不张、缺氧及肺水肿。
2. 新生儿感染性肺炎 引起新生儿呼吸衰竭及死亡的主要原因。
3. 胎粪吸入综合征 病理改变是局部肺组织化学性炎症和间质性水肿,诊断主要依靠病史及临床表现。
4. 新生儿暂时性呼吸增快 又称新生儿湿肺,为自限性疾病,预后好。
5. 肺不张。
6. 气胸 随着人工呼吸机的广泛应用,气胸发生率逐渐增加,发病急,病死率高。

图34-17 新生儿呼吸窘迫综合征

图34-18 新生儿感染性肺炎

《儿童呼吸治疗学》由四川大学华西第二医院(华西妇女儿童医院)一级专家陈大鹏教授和四川大学华西儿童医学中心主任母得志教授主编,共4篇39 章,70余万字。《儿童呼吸治疗学》全方位介绍儿童呼吸系统的相关知识,涵盖了小儿呼吸系统肺发育,生理特点,药理特点,常见疾病与儿童机械通气。既包括儿童呼吸系统的基础知识,小儿常见呼吸系统疾病的最新临床研究进展与机械通气使用的特点,还包括儿童呼吸系统疾病的常见和最新诊疗方法,如肺功能检查、支气管镜和胸腔镜的应用等。
科学出版社赛医学(sci_med)
科学出版社医药卫生分社订阅号








