
多灶性脱髓鞘
1.多发硬化(Multiple Sclerosis ,MS):中枢神经系统脱髓鞘疾病中最常见的一种类型,患者脑和脊髓内发生多灶性脱髓鞘斑块为其主要表现。
1.1病理:病灶主要位于脑和脊髓的白质内,呈弥散分布。大脑半球大体观可正常,部分人有脑回轻度萎缩及脑沟增宽;切面可见大小不等的软化坏死灶和边缘清楚的灰色斑块,以侧脑室周围和小脑多见。显微镜检查:早期 病灶区髓鞘崩解,局部水肿,血管周围有淋巴细胞、浆细胞浸润等炎症反应。中期随髓鞘崩解产物被吞噬细胞逐渐清除,形成斑点状软化坏死灶,可见格子细胞形成 和轴索消失。晚期病灶区有胶质细胞与星形细胞增生,网状与胶原纤维增生,形成边界清楚的灰色斑块,直径一般在0.1cm~4.5cm。病灶可新旧并存。重 症、晚期患者可见脑室扩大,脑回变平,脑沟增宽和脊髓变细等脑脊髓萎缩改变。偶尔MS可伴胶质瘤,肿瘤起源于多发硬化的斑块。
1.2影像学:MRIT1加权像见多发斑点状低信号病灶,通常与侧脑室壁垂直排列,与脑室周围白质内小血管的走行方向一致。陈旧性斑块呈等信号。由于多发硬化是少突神经胶质-血管髓磷脂复合疾病,因此有5%者,皮质和基底节亦受累,半卵圆中心的病灶可有占位效应。脊髓病灶呈长 条形,与脊髓长轴走行一致,一般脊髓不增粗。T2加权像病灶呈高信号,边缘清晰。质子密度加权像有利于显示靠近脑室边缘、脑干及小脑MS病灶。Gd- DTPA增强扫描T1加权像急性脱髓鞘病灶强化,陈旧病灶无强化。 MRI可判断MS的分期:MRI显示病灶大小不变、病灶缩小或数目减少,则提示为缓解期;若病灶增大或数目增多,则提示病情加重。MRI还可用来随访治疗效果。

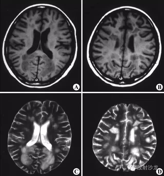
MRI平扫示双侧侧脑室周围及深部脑白质多发斑片状异常信号区,T1WI(A、B)呈低信号,T2WI(C、D)呈高信号,未见占位效应

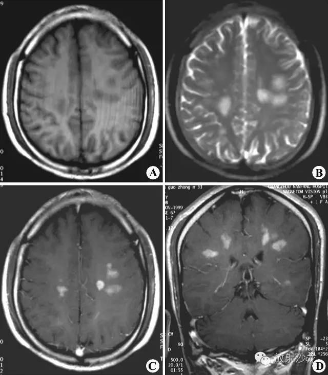
MRI平扫示双侧半卵圆区多发斑片状异常信号区,呈长T1(A)和长T2(B)改变;增强扫描(C、D)病变明显强化

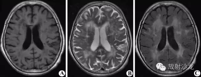
双侧幕上半球放射冠区多发斑片状异常信号区。T1WI(A)为稍低信号,T2WI(B)为高信号,FLAIR(C)呈不均匀稍高信号,占位效应不明显。

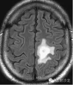
肿块样的ms,但较之肿瘤水肿轻,和对白质压迫的作用。


1.3MS影像学鉴别诊断
1.3.1皮层下动脉硬化性脑病(Binswanger病):Binswanger病与高血压有关,对长期高血压和进行性痴呆的患者,结合脑MRI表现可诊断此病.为老年人在脑动脉硬化基础上,大脑半球白质弥漫性脱髓鞘性脑病。主要累及侧脑室周围、半卵圆中心等皮层下脑深部白质,多为双侧性,常伴有腔隙性脑梗死、脑萎缩。临床主要表现为进行性痴呆。
MRI平扫示双侧侧脑室稍扩大,双侧额叶深部及放射冠区可见斑片状异常信号区,T2WI(A、B)及水抑制序列(C、D)呈高信号;双侧基底节及右侧放射区可见多灶腔隙性梗塞灶,呈长T2改变。

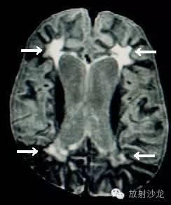
双侧侧脑室周围及放射冠区对称性月晕状信号异常。T1WI(A)呈稍低信号,T2WI(B)及FLAIR(C)呈稍高信号,占位效应不明显。围绕侧脑室呈大片状,其边缘多模糊不清,可伴有脑深部腔隙软化灶,无占位效应,增强扫描无强化。



1.3.2多发脑梗死
1.3.3病毒性脑炎:可累及脑的任何部位,但以颞叶受累最为常见。CT平扫为片状低密度,MRI为异常信号,多为一侧性,病灶周围有水肿带并有占位效应。增强扫描大部分病灶呈轻度边缘强化、或无明显强化。
MRI平扫示左侧颞叶、岛叶、顶叶斑片状、斑点状异常信号区,T2WI(A、B)及水抑制序列(C、D)呈高信号,T1WI(E、F)呈略低信号,左侧颞叶脑沟内少量出血,呈长条状高信号

MRI平扫示双侧丘脑区片状异常信号(↑),T1WI(A)呈稍低信号,T2WI(B)及水抑制序列(C)呈高信号,占位效应不明显,增强后(D)病变区呈轻度不均匀强化

2.进行性多灶性脑白质病

进行性多灶性脑白质病(Progressive multi-focal leukoencephalopathy,PML)是一种罕见的进行性中枢神经系统多发脱髓鞘疾病,多见于慢性淋巴性白血病、淋巴瘤、肾移植后、结核、结 节病、系统性红斑狼疮和巨球蛋白血症等患者,发病年龄多在40岁~60岁之间,男性多于女性。
2.1病因和病理:已证明乳头空泡病毒科的JC病毒和SV-40(Simian Virus 猴病毒)是进行性多灶性脑白质病的病原体,临床上病毒携带者是否发病还与机体有免疫异常有关。大脑白质有广泛多发脱髓鞘改变,呈散在不对称性分布,小脑、脑干与脊髓病灶较少见,病灶内有少突胶质细胞破坏和星形细胞核变性,晚期病灶呈囊性萎缩。超微结构分析,免疫荧光法及原位杂交研究表明,乳头空泡病毒感染免疫抑制患者脑星形细胞和少突神经胶质细胞为本病的病因。
2.2影像学:病灶远离脑室系统,位于皮层下脑白质,好发于顶枕部,分布不均。早期病灶呈圆形或椭圆形,随后病灶逐渐融合、扩大。病灶呈低密度,境界不清,无占位效应。 增强扫描多数病灶不强化,极少数可有强化表现。病程晚期,可出现脑萎缩改变。MRI显示病灶T1加权像呈低信号,T2加权像为均匀高信号,边界清楚。少数 患者有胼胝体水肿和病灶内出血。艾滋病并发本病者,有50%同时累及脑灰质。


3.急性散发性脑脊髓炎
急性散发性脑脊髓炎(Acute dissenminated encephalomyelitis,ADEM)是一种发生在感染后(例如:麻疹、风疹、天花、流行性感冒等疾病)的中枢神经系统脱髓鞘疾病,又称感染后脑脊髓炎。偶发于牛痘、狂犬病疫苗接种后。
3.1病因与病理:本病有病毒直接侵犯中枢神经系统和病毒感染后诱发自身免疫反应两种发病学说。病灶中心是扩张的小静脉,静脉周围脑组织有脱髓鞘改变,小胶质细胞增生和炎性细胞浸润;病灶可融合成大片软化坏死区。
3.2影像学:早期CT检查可阴性。急性期CT平扫示两侧大脑半球白质、特别是半卵圆中心有弥漫低密度病灶,边界不清,周围有水肿。继之病灶不断蔓延、融合,可挤压脑室使之变小。增强扫描病灶无强化。慢性期有弥漫性脑萎缩。MRI病灶呈异常信号,边缘呈波浪状,境界清楚。
A and B, ADEM. Axial FLAIR spin-echo MR scan shows multifocal subcortical hyperintense foci with confluent white matter disease in basal ganglia. C and D, MS. Axial FLAIR spin-echo MR scans show high signal foci similar to ADEM. MS lesions were more likely enhancing, ovoid, periventricular and perpendicular to the long axis of the ventricles than ADEM lesions.

(A) MRI brain (T2 weighted) in MS showing well demarcated lesions in the region of the periventricular white matter.
(B) MRI brain (T2 weighted) in ADEM showing a large mass-like lesion in the white matter.
(C) MRI brain in ADEM showing multiple large lesions with poorly defined margins and relative periventricular sparing.

3.3鉴别诊断

4.亚急性硬化性全脑炎
亚急性硬化性全脑炎(Subacute sclerosingpanencephalitis,SSPE)是由麻疹病毒引起的一种罕见脑部慢性感染,多见于儿童或青少年。
4.1 病因及病理:由麻疹病毒引起。本病广泛累及大脑白质与灰质,也可侵犯脑干、小脑、丘脑及颈髓。大体观脑外表正常,触之较硬,可有弥漫性脑萎缩,以额、颞叶为著,皮质偶有小灶坏死。镜下 见神经细胞广泛变性、坏死,细胞数目明显减少,有噬神经细胞像,血管周围淋巴细胞和浆细胞严重浸润,胶质细胞增生明显,伴有白质脱髓鞘改变。有时在神经细 胞及胶质细胞的胞核中及胞浆内,可见特征性的嗜酸性包涵体。
4.2影像学:表现为大脑皮层和皮层下脑白质的多发斑片状病灶,T1加权像呈低或等信号,T2加权像为高信号,增强扫描少数病例有脑膜或脑实质强化。晚期累及脑室周围白质。胼胝体、丘脑、基底节及脑干亦可受累。本病的mri改变无特异性。
大脑皮层轻度萎缩,白质高信号


5.桥脑中央髓鞘溶解症
桥脑中央髓鞘溶解症(Central PontineMyelinolysis,CPM)是一种罕见的脱髓鞘疾病,好发于慢性酒精中毒者,病因不明。
5.1病因及病理:桥脑基底部中央处对称性脱髓鞘,从中缝处开始,向两侧发展,髓鞘脱失严重,但神经细胞与轴突仍相对完整,无炎性反应。显微镜下主要表现为髓鞘破坏,神经 元、轴索和血管相对完好,胶质细胞的胞浆肿胀和核浓缩。病灶可扩散至桥脑被盖,并向上波及中脑,不累及软脑膜下及脑室周围区。除桥脑外,约10%的病例, 在基底节、丘脑、皮层下白质、半卵圆中心、胼胝体和小脑亦可见散在的脱髓鞘病灶。
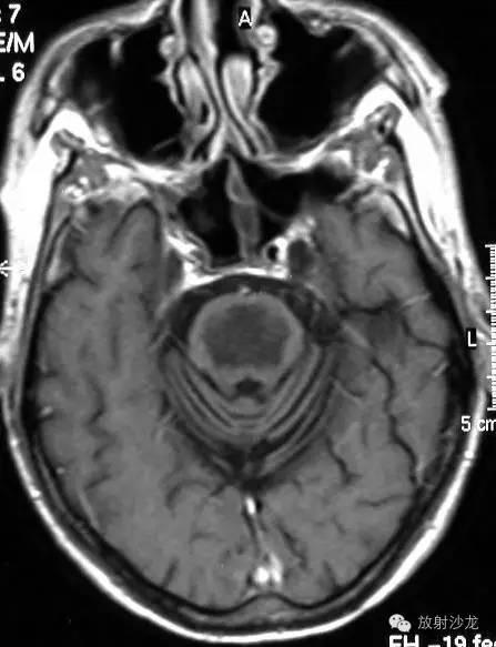
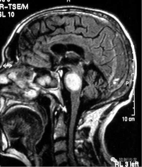
5.2影像学:CT平扫示桥脑基底部低密度区,无占位效应,一般不侵犯中脑和向后侵犯中央纤维束。病灶常累及前额叶,偶可累及外侧基底节、丘脑、大脑皮层下白质;增强扫描病灶无强化。MRI平扫示急性期患者桥脑上部中央出现三角形、或对称性圆形、卵圆形T1加权像低信号,T2加权像高信号的病灶,增强扫描有显著异常强化;不累及脑 室周围白质区,但大脑皮层下白质、半卵圆中心、胼胝体、丘脑、纹状体、中脑和小脑可见散在异常信号病灶。MRI为本病首选。




5.3鉴别诊断:
5.3.1脑干炎症:MRI T2WI(B)及水抑制像(C)示中脑内片状欠均匀高信号(↑),T1WI(A)病变区与脑实质信号相等

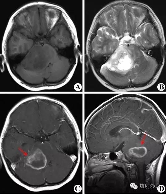
5.3.2脑干肿瘤:右侧桥脑近小脑半球占位。 T1WI(A)呈不均匀等低信号,T2WI(B)呈混杂高信号;增强扫描(C、D)呈不均匀环形强化,壁厚薄不均,第四脑室受压变窄。

桥脑偏左侧占位。T1WI(A)呈不均匀低信号,T2WI(B)呈不均匀高信号。增强扫描(C、D)呈明显不均匀环形强化,第四脑室受压变形。

6.BALO同心圆硬化
BALO同心圆硬化(Balo’s concentric sclerosis , BCS)是一种罕见的、以病灶处白质髓鞘脱失区与髓鞘保存区呈特征性同心圆或洋葱皮样相间排列为特征的中枢神经系统脱髓鞘疾病, 病因不清楚, 可能与HHV26 病毒感染后的免疫反应有关或感染后局部保护性缺血性预处理有关。好发于青壮年。
Balo concentric sclerosis. AYB, Axial T2-weighted and FLAIR images demonstrate alternating rings of hyperintensity and intermediate signal, suggesting variable degrees of demyelination. A moderate amount of surrounding edema is present.C, T1-weighted image shows multiple hypointense rings. D, Gadolinium-enhanced T1-weighted scan discloses heterogeneous enhancement. Reproduced from Hesselink.

7.血管周围间隙
Virchow-Robin (VR) spaces也有称之为血管周围淋巴间隙,VRS将血管与周围的脑组织分离开来,是神经系统内的正常解剖结构,约1-2mm,也有个别超过1cm.VRS充满组织间液,而不是脑脊液。直径>2mm的VRS被认为是VRS扩大,还见有巨大VRS、海绵状VRS等。扩大的VRS的特征是边界光滑清楚,呈圆形或线形(由于部位和切面不 同),与穿通动脉的行径相一致,在MRI的T1WI、T2WI和FLAIR序列上与脑脊液信号是相同的。无对比剂增强效应,无占位效应。FLAIR对于区 别VRS和缺血灶非常有用,缺血灶呈高信号区域,而VRS与CSF的信号相同,呈低信号改变。
7.2影像学:

7.3鉴别诊断:腔隙性梗塞:根据病灶的大小、形态和部位能够区分大多数的vrs或腔隙性梗死灶,其中病灶大小是最重要的因素。 vrs最常见于基底节区,呈圆形或线形,平均大小1.9×0.9mm,72% <2×1mm;而腔隙性梗死灶也常见于基底节区,但47%呈楔形,平均大小3.0×1.6 mm,60% >2×2mm。因此,基底节区3×2mm以上的病灶或脑干的病灶,一般很可能是腔隙性梗死。
弥漫性脱髓鞘
1.可逆性后循环脑病:The posterior reversible encephalopathy syndrome
(PRES)多种临床病因,包括急性的肾小球肾炎,先兆子痫和子痫,系统性红斑狼疮,血栓性血小板减少紫癜和溶血性尿毒症综合征,以及药物毒性如环孢菌素
1.1病理及病因:该病的病理性基础有两种理论,最早的理论认为是脑局部血管,特别是血管边缘带可逆性缺血引起血管痉挛,从而导致血管自身过度调节。
1.2影像学:MRI 表现主要为T1 WI 呈低信号,T2 WI 呈高信号,但大多数学者认为FLAIR 对该病的影像学诊断更为敏感,对于早期或较小病灶检出率较高 。DWI 及ADC 的研究可用于鉴别PRES 所引起的血管源性水肿与脑梗死所引起的细胞毒性水肿。血管源性水肿时DWI呈低或等信号,ADC 呈高信号,而细胞毒性水肿时DWI 呈高信号,ADC 呈低信号。


1.3鉴别诊断:(1)脑梗死:多好发于老年人,病灶多沿血管走行分布,由于其病理学基础是细胞毒性水肿,故其MRI 典型表现是DWI 呈高信号,ADC 呈低信号,与PRES 不同。(2)静脉窦血栓:亦多发于孕妇,但其在治疗上有别于PRES,除对症治疗外,抗凝、溶栓是其主要治疗手段。磁共振静脉血管成像(MRV)可直接显示栓塞的静脉窦,其内充盈缺损或狭窄。








