简要案情杜某,男,1988年生人。2014年6月13日下午15时30分许,干活时从7米高的屋顶摔落,头面部着地受伤。现办案机构提请分别依据《人体损伤致残程度鉴定标准(2011修订稿)》【京司鉴协发[2011]5号】、GA/T 1193-2014《人身损害误工期、护理期、营养期评定规范》、GB/T 31147-2014《人身损害护理依赖程度评定》对王某的头面部损伤的伤残等级、护理期及护理依赖进行法医学评定。
病历摘要:
1、杜某伤后某医院住院病历载:入、出院日期:2014年6月13日、2014年7月30日。现病史:患者于3.5小时前不慎自约7米高处坠落,头面部着地,伤后即出现意识障碍,后神志逐渐清醒,继而再次出现意识不清、躁动不安,鼻腔出血,被人急送来我院急诊,头CT检查显示硬膜外血肿,后予以输液对症治疗,病情未见好转,为进一步观察治疗收住我科病房。住院情况:患者入院时神志呈躁动状态,查体不合作,双侧瞳孔等大等圆,直径3.5mm,对光反射迟钝,颈抵抗阴性,双侧腹壁、提睾反射存在,双侧膝腱反射亢进,双侧巴氏征阴性,刺痛后四肢活动正常,肌力5级,四肢肌张力增高。双侧面部肿胀,挫伤,压痛。鼻部塌陷,肿胀,压痛。口唇部皮肤裂伤口内4cm,口外2cm。双侧眼睑肿胀明显,皮下血肿,双眼结膜水肿。左额颞顶部肿胀,压痛。鼻腔有大量血性液流出,左侧外耳道有血性液流出。全身多处皮肤挫伤。听诊双肺闻及散在湿性啰音。诊疗过程:病情危重,及时复查头颅CT,发现颅内血肿增加,行“左侧额颞顶开颅硬膜外血肿清除去骨瓣减压术+颅内压探头置入术”。术后给以对症支持治疗、肺部护理行气管切开术,病情稳定好转后转出监护室治疗。出院情况:患者意识朦胧状态,呼唤后睁眼,醒状昏迷状。双侧瞳孔等大同圆,直径3毫米,对光反射迟钝,颅骨骨窗处压力不高,四肢肌张力高,双下肢呈僵直状态,但较前明显好转,病理征阴性,胃管护理中,能从口进食少量,下一步进行肢体康复训练治疗。确定诊断:急性内开放性颅脑损伤,颜面部、颅底、额骨、左顶骨多发骨折,左额顶部硬膜外、下血肿,气颅,脑脊液耳、鼻漏,双眼钝挫伤、眼睑血肿,双侧眶壁骨折、鼻骨骨折,下唇皮肤裂伤,全身多发软组织损伤,多颗牙齿脱落。
2、杜某伤后转至某康复医院住院病历载:入、出院日期:2014年07月30日、2014年09月22日。诊疗经过:入院后完善相关辅助检查,安排高压氧、针灸、PT等康复治疗,患者意识状态好转,神志转清,可以遵旨令动作,无言语,肢体活动改善。经术前准备,于2014-8-13在全麻下行“左侧额颞颅骨修补术”,术中取原冠状切切口,分离肌皮瓣,分离过程中硬膜保留完整未见破损。确切止血并反复冲洗,显露骨窗边缘,置入已塑形的Medtronic钛网板一片,周缘以12枚钛钉固定。术后病情平稳,伤口如期愈合并拆线。术后患者言语功能较术前恢复,可有简单言语,发音力弱,右侧肢体肌力改善,逐步可以在扶助下站立及行走。出院前可以独立步行数十米,左侧肢体力弱,平衡功能明显改善。复查头颅CT脑积水未见进展,病情平稳出院。出院诊断:急性内开放性重型颅脑损伤恢复期,左额颞顶开颅血肿清除术+去骨瓣减压术后,去骨瓣减压术后颅骨缺损(左侧额颞),继发性脑积水,言语障碍,肢体活动障碍;牙齿缺失。
【鉴定过程】杜某于伤后9个月来法大法庭科学技术鉴定研究所检查所见:一般情况可,步入检查室,步幅宽,步态缓慢,神志清,言语清,表情欣快,回答简单问题不准确,有不自主手抖动,肢体协调性差。颜面部不对称,右眼球内陷,左侧颧弓隆起。顶正中可见冠状位27.0cm×0.3~0.4cm的头皮手术瘢痕,局部毛发缺失,其下方部分颅骨缺损、已修补。右顶枕部可见横形3.4cm×0.5cm的头皮瘢痕。颈部正中可见横形3cm×1cm的气管切开瘢痕。颅神经检查:左侧额纹浅,眼睑闭合良好,鼓腮不漏气,伸舌居中,示齿右侧鼻唇沟浅,耸肩、转颈有力,左侧握力弱,双手精细活动差。双上肢肌力Ⅴ=级,双下肢肌力Ⅴ=级,以右侧为重,右侧肌张力偏高,生理反射右侧较左侧活跃,双侧霍夫曼氏征(+),双侧巴彬斯基氏征(±)。轮替试验不能完成,指鼻试验、跟膝胫试验欠稳准。余常规体格检查未见明显异常。(面部照片见附件1)
精神智能检查:意识清楚,定向力受损,理解能力尚可,对答基本切题,但多答“不知道”。注意力欠集中,记忆力受损,说不清个人基本情况及简历、受伤情况及今日行程,一般常识差,计算力差,不知道伤后是否精神异常,否认有着急发愁之事,表情呆板,未见精神病性症状。我所应用《成人智残评定量表》对杜某进行测查,得分10分,属中度智力缺损。
眼科常规检查:视力:右眼0.2,左眼 光感可疑。双眼睑睁闭良好,右眼外观明显后退,眼球突出度:右眼 5mm>—100mm—<10mm 左眼。右眼下沉,双眼不在同一水平。双眼位尚正,左眼下转落后,右眼上转落后,余方向运动到位。双眼结膜无充血,角膜清,前房中深,KP(-),Tyn(-)。双眼瞳孔等大正圆,右眼瞳孔直接对光反射(+),间接对光反射(-);左眼瞳孔直接对光反射极弱,间接对光反射(+),RAPD征(+)。双眼晶体清。小瞳下眼底:右眼视神经乳头色稍淡、边界清,黄斑部中心凹光反射(-);左眼视神经乳头色淡明显、边界清,黄斑部中心凹光反射(-)。余常规检查未见明显异常。(眼底照片见附件2)
诱发电位(VEP、SEP)检查
Goggles-VEP示:右眼1.9/s~10.9/s可诱出NPN波形,P2波潜伏期尚可,诸频率波幅均显著降低,10.9/s未诱出明确NPN波形;左眼1.9/s~10.9/s均未诱出明确NPN波形。PRVEP示:右眼空间频率阈值明显降低(54′),P100波呈切迹波形,余空间频率均未诱出明确P100波形。(见附件3)
SEP示:双侧SEP波幅明显不对称。(见附件4)
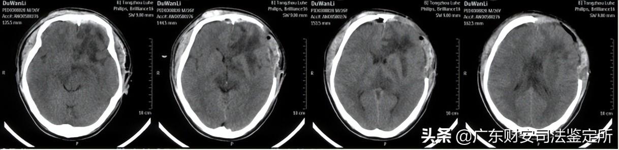
2014-6-16颅面部CT片示:双侧额骨、双眼眶壁、双侧鼻骨等颅面骨多发骨折,颅底骨折,左侧开颅术后,左侧额颞顶部分颅骨缺损,局部脑组织稍向外膨隆,颅内积气,双侧额叶可见少量高密度影,右侧额部可见金属探头,左侧额叶可见不规则大片状低密度区,左侧侧脑室稍受压,局部中线结构稍右偏。(见附件5-A)
2014-6-24颅脑CT片示:右侧额部金属探头已拔除,左侧脑室受压解除,中线结构居中,余基本同前。(见附件5-B)
2014-8-5首次术后颅脑CT片示:左侧开颅术后,额颞部分颅骨缺损,双侧额叶、左侧基底节区、侧脑室旁均可见软化灶、形态不规则,左侧侧脑室轻度扩张,中线结构居中。(见附件5-C)
2014-9-18修补术后复查颅脑CT片示:左侧额颞部颅骨减压修补术后,胼胝体、左侧基底节区可见斑片状低密度灶,双侧额叶可见不规则低密度灶,中线结构居中。(见附件5-D)
【分析说明】杜某于2014年6月13日受伤。根据现有鉴定材料,结合我们检查及阅片所见,明确其所受损伤为:急性内开放性颅脑损伤,颜面部、颅底、额骨、左顶骨多发骨折,左额顶部硬膜外、下血肿,气颅,脑脊液耳、鼻漏,双眼钝挫伤、眼睑血肿,双侧眶壁骨折、鼻骨骨折,下唇皮肤裂伤,全身多发软组织损伤,多颗牙齿脱落。
(一)关于伤残等级鉴定
杜某先后经“左侧额颞顶开颅硬膜外血肿清除去骨瓣减压术+颅内压探头置入术”、“气管切开术”、“左侧额颞颅骨修补术”及营养神经、止血、脱水、抗酸、高压氧、针灸、PT康复等综合性治疗,目前其上述伤情基本稳定,具备进行伤残等级评定的条件。
现查见杜某目前主要遗留左侧开颅局部颅骨缺损并修补术后,颅脑损伤致肢体功能轻度受限(共济运动差)伴中度智力缺损,眶壁多发骨折致右眼球内陷明显(双眼相差5mm)伴眼球运动稍受限,双眼视神经损伤(左侧为著)致其右眼低视力1级、左侧盲目5级;视觉诱发电位(VEP)检查显示右眼视神经传导功能部分障碍伴视敏度下降,左眼视神经传导功能及视敏度严重障碍;体感诱发电位(SEP)检查提示异常。
依据《人体损伤致残程度鉴定标准(2011修订稿)》【京司鉴协发[2011]5号】,杜某的中度智力缺损符合第2.6.1条之规定,伤残等级为六级;其颅脑损伤致肢体功能轻度受限(共济运动差)符合第2.7.3条之规定,伤残等级为七级;其双眼视神经损伤(左侧为著)致其右眼低视力1级、左侧盲目5级符合第2.5.11条之规定,伤残等级为五级;其左侧开颅符合第2.10.2条之规定,伤残等级为十级。根据总则第1.6条之规定,综合评定,杜某的伤残等级为五级(伤残率为60%)。
(二)关于护理期及护理依赖鉴定
杜某本次外伤颅脑损伤较重,经多次手术及康复等综合性治疗。其损伤早期需要限制于卧床接受治疗,且在颅脑损伤恢复过程中,日常生活需依赖他人帮助或者协助完成,并需补充营养以促进神经功能恢复。目前主要遗留中度智能障碍、肢体功能受限、右眼低视力1级伴左眼盲目5等征,其日常生活活动能力及自理能力严重受影响。
根据杜某的上述损伤特点、实际治疗康复情况及损伤一般预后等因素,依据GA/T 1193-2014《人身损害误工期、护理期、营养期评定规范》之规定,杜某的伤后身体状况需长期护理,故此,前期的护理期可考虑到定残前一日止。
杜某目前进食、穿衣、行走、整理个人卫生、修饰、洗澡、使用日常工具等均不同程度地需他人帮助完成。根据GB/T 31147-2014《人身损害护理依赖程度评定》标准,对杜某进行评定,其躯体伤残日常生活活动能力项目得分70分(总分100分),其精神障碍日常生活自理能力项目得分70分(总分120分)。依据该标准第5.2.2.1条之规定,杜某的目前情况属部分护理依赖程度。
【鉴定意见】1、杜某的伤残等级为五级(伤残率为60%)。
2、杜某的目前情况属部分护理依赖程度。
3、杜某损伤之日起至定残前一日需设置护理;定残后仍需护理依赖。
【附件】
附件1:面部照片
附件2:眼底像
附件3:视觉诱发电位(VEP)检查
附件4:影像学资料扫描图片
附件5:躯体感觉诱发电位检查报告
附件1:面部照片
|
附件2:眼底像
|
|
右眼底 | 左眼底 |
附件3:视觉诱发电位(VEP)检查
Goggles-VEP | PRVEP | ||
|
| ||
左眼 | 右眼 | 左眼 | 右眼 |
附件4:
法大法庭科学技术鉴定研究所
躯体感觉诱发电位检查报告
姓名 杜某 性别 男 出生年月 1988年9月
受伤时间2014年6月13日 检查时间2015年3月13日
上肢躯体感觉诱发电位
所 检 神 经 | 刺激 部位 | 记 录 部 位 | 参考部位 | 潜 伏 期(ms) | 波 幅(μv) | ||||
N9 | N13 | N20 | N9 | N13 | N20 | ||||
左正中神经 | 腕 | Erb’s点、C7、 Cz | Fz | 9.9 | 14.0 | 19.6 | 6.7 | 1.6 | 1.6 |
右正中神经 | 腕 | Erb’s点、C7、 Cz | Fz | 10.0 | 13.9 | 20.2 | 4.6 | 2.6 | 4.3 |


左上肢SEP 右上肢SEP
下肢躯体感觉诱发电位
所 检 神 经 | 刺激 部位 | 记录 部位 | 参考 部位 | 潜 伏 期(ms) | 波 幅(μv) | ||||||
P40 | N1 | P2 | N2 | P40 | N1 | P2 | N2 | ||||
左胫神经 | 内踝 | Cz
| Fz | 37.3 47.1 56.2 65.1 | 0.6 | 1.4 | 1.8 | 2.1 | |||
右胫神经 | 内踝 | Cz | Fz | 37.1 44.5 55.4 65.7 | 1.2 | 2.7 | 3.0 | 3.0 | |||


左下肢SEP 右下肢SEP
检查结果:双侧SEP波幅明显不对称。
附件5:影像学资料扫描图片
|
A、2014-6-16(伤后3天)头颅CT片 |
|
B、2014-6-16(伤后3天)头颅CT片 |
|
C、2014-8-5(伤后1个月余)头颅CT片 |
|
D、2014-9-18(伤后3个月)头颅CT片 |

















